Wisdom tooth pain in Noida is one of the most common reasons young adults visit Kaizen Dental in Sector 50, especially patients coming from nearby areas like Sectors 41, 49, 51, 72, 75, and 76. Many people are unsure whether they actually need extraction or if the pain will settle with medicines and home remedies.
In this guide, Dr. Monika Kamboj (MDS) explains when wisdom tooth pain can be monitored, when it is a warning sign of deeper problems, and how dentists decide if removal is the safest long‑term option for you.
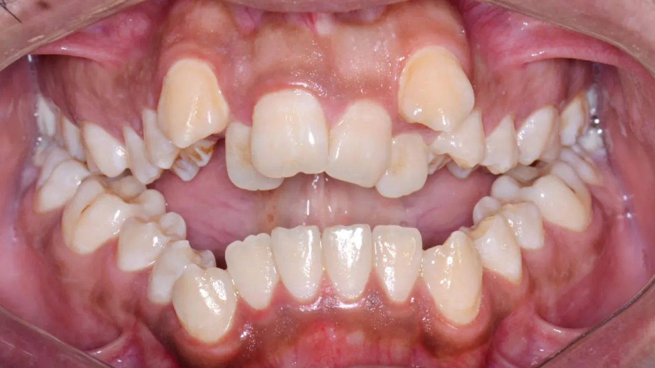
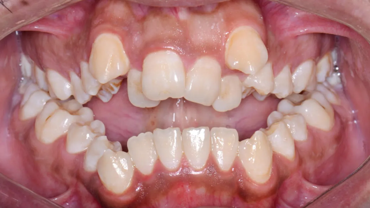
Wisdom teeth (third molars) are the last set of molars at the very back of your mouth. They usually try to erupt between 17 and 25 years of age, when the jaw is already crowded.
In many people, there is not enough space, so the tooth stays tilted or stuck in bone.
This “impacted” position can irritate the gums, trap food, and make cleaning difficult.
Over time, this leads to pain, infection, swelling, and damage to the nearby second molar.
Not every wisdom tooth needs removal, but symptomatic or diseased wisdom teeth usually do.
1. Pericoronitis (Infected Gum Around the Tooth)

Pericoronitis is the most frequent cause of wisdom tooth pain in Noida.
The tooth is partly visible and partly covered by gum.
Food and bacteria get trapped under this gum flap.
Symptoms include red, swollen gums, bad taste, pain while chewing, and sometimes difficulty opening the mouth.
Repeated or severe pericoronitis is a strong indication for wisdom tooth extraction.
2. Tooth Decay in Wisdom Tooth or Second Molar

Tilted wisdom teeth are hard to clean, so plaque builds up.
Cavities can form in the wisdom tooth, the second molar in front, or both.
Pain may be triggered by sweets, cold water, or biting on that side.
If decay is deep or affects the neighbouring tooth, dentists often advise removal to prevent repeated infections.
3. Pressure, Crowding, and Bite Problems

Sometimes the wisdom tooth pushes against the second molar or jaw bone.
You may feel dull pressure, tightness, or shifting teeth.
In some cases this worsens crowding after orthodontic treatment.
Your dentist will assess X‑rays to decide whether extraction will help protect the rest of your teeth.
4. Cysts or Other Pathology (Less Common but Serious)

Occasionally, fluid‑filled cysts or other lesions develop around impacted wisdom teeth.
These may be seen on routine X‑rays before symptoms appear.
Untreated, they can damage bone or nearby teeth.
In these cases, removal is clearly recommended.
Dentists generally recommend extraction when any of these warning signs are present:
Repeated swelling, redness, or infection around the wisdom tooth (recurrent pericoronitis).
Persistent pain at the back of the jaw, especially while chewing or opening wide.
Food trapping, bad breath, or bad taste that doesn’t improve with cleaning.
Deep cavity in the wisdom tooth or the tooth in front of it.
Damage to the second molar’s root or bone seen on X‑rays.
Cyst or other pathology around the wisdom tooth.
Difficulty opening the mouth, swallowing, or painful swollen lymph nodes (urgent sign).
You really need wisdom tooth extraction when there is infection, repeated pain, cavities, damage to nearby teeth, or lack of space shown on X‑rays. A pain‑free, fully erupted, easy‑to‑clean wisdom tooth may not need removal.
Not every case of wisdom tooth pain in Noida requires immediate surgery. Your dentist may suggest watchful waiting if:
The tooth is fully erupted, straight, and easy to clean.
Pain is mild and happens only when biting hard foods.
X‑rays show no decay, cyst, or bone damage.
In such cases, professional cleaning, improved brushing, and occasional medicines may control symptoms. However, regular check‑ups and X‑rays are important because problems can develop later.
At Kaizen Dental in Sector 50, Noida, evaluation typically includes:
Detailed history of pain, swelling, difficulty opening the mouth, or ear/neck discomfort.
Clinical exam to check gum infection, food trapping, and bite.
Digital X‑rays (OPG or intraoral) to see the exact position of the wisdom tooth, nearby roots, nerves, and any hidden decay or cysts.
Because our clinic is centrally located in Sector 50, we frequently treat patients from Sectors 41, 49, 51, 72, 75, 76 and surrounding societies who need quick relief from wisdom tooth pain.
After the exam, Dr. Monika Kamboj explains clearly whether your wisdom tooth can stay, needs monitoring, or is safer to remove.
For most patients, wisdom tooth extraction is a routine, planned procedure.
Local anaesthesia is used to numb the area so you feel pressure but not pain.
For simple extractions, the tooth is loosened and removed in one piece.
For impacted teeth, a small flap of gum may be lifted and the tooth removed in sections.
The area is cleaned and stitches may be placed to help healing.
At Kaizen Dental, we use gentle techniques, sterile instruments, and clear instructions to keep you comfortable during and after the procedure. Patients from nearby Noida sectors usually return home the same day and can rest comfortably.
Mild discomfort and swelling are normal for 2–3 days, improving steadily.
Most patients return to work or college in Noida within 2–5 days, depending on the complexity of surgery.
Pain is usually controlled with prescribed painkillers, cold packs, and soft foods.
If you notice increased pain after a few days, foul smell, or pus, contact your dentist immediately to rule out dry socket or infection.
These tips may provide temporary relief until you visit a clinic in or near Sector 50, Noida:
Rinse gently with warm salt water 2–3 times a day.
Use an over‑the‑counter painkiller only if it is safe for you (always follow your doctor’s advice).
Avoid very hard, sticky, or spicy foods on the painful side.
Maintain regular brushing and flossing, but be gentle around the sore area.
Home care can reduce discomfort but does not replace a proper dental examination if pain keeps coming back.
1. How do I know if wisdom tooth pain means I need extraction?
If you have repeated swelling, difficulty opening your mouth, pain while chewing, or infection around the wisdom tooth, extraction is usually advised after an X‑ray.
2. Is wisdom tooth removal very painful?
With local anaesthesia and modern techniques, you should feel pressure but not sharp pain during extraction; post‑operative discomfort is usually manageable with medicines and ice packs.
3. At what age is wisdom tooth extraction easier?
Extractions are generally simpler and heal faster in the late teens or early twenties because the roots are less formed and bone is more flexible.
4. Can I avoid extraction if the pain settles with antibiotics?
Antibiotics may calm infection temporarily, but if there is repeated pericoronitis, decay, or lack of space, removal is still recommended to prevent future episodes.
5. How soon should I see a dentist for wisdom tooth pain in Noida?
You should see a dentist within a few days of persistent pain, and immediately if there is swelling, fever, or difficulty swallowing or opening your mouth. Residents of Sector 50 and nearby Noida sectors can quickly reach Kaizen Dental for emergency evaluation.
You should book an appointment with Kaizen Dental in Sector 50 if you notice:
Pain at the back of the jaw that lasts more than a couple of days.
Swollen or bleeding gums around a partially erupted wisdom tooth.
Food getting stuck, bad taste, or bad breath from that region.
History of repeated infections or pain from the same tooth.
Early evaluation helps us decide whether simple cleaning, medicines, or planned wisdom tooth extraction is best for you.
If you are experiencing wisdom tooth pain in Noida especially in Sector 50 or nearby areas like Sectors 41, 49, 51, 72, 75 and 76 call Kaizen Dental or book an appointment online. Dr. Monika Kamboj will examine your tooth, review X‑rays if needed, and give you a clear, honest opinion on whether you really need extraction or can safely monitor the tooth with regular follow‑ups.